Products
PRIMARY ANTIBODY
SECONDARY ANTIBODY
PROTEIN & PEPTIDES
BIOCHEMICALS
ASSAY & ELISA KITS
LOADING CONTROL
OTHER REAGENTS
SERUMS
CELL LINE
Contact Us
About Us
Login
Register
|
Forgot Password
Sign In
Forgot your Password?
If you've forgotten your password, enter your e-mail address below and we'll send you instructions on how to securely change your password.
Back
Continue
0
Shopping Cart
Products
Contact Us
About Us
Shopping Cart
Loading....
Login Account
Sign In
Register
Register
|
Forgot Password
Sign In
Forgot your Password?
If you've forgotten your password, enter your e-mail address below and we'll send you instructions on how to securely change your password.
Back
Continue
0
Shopping Cart
Home
Primary Antibody
RCN2 Polyclonal Antibody
tcba11366
RCN2 Polyclonal Antibody
Western blot analysis of extracts of various cell lines, using RCN2 antibody at 1:1000 dilution.Secondary antibody: HRP Goat Anti-Rabbit IgG (H+L) at 1:10000 dilution.Lysates/proteins: 25ug per lane.Blocking buffer: 3% nonfat dry milk in TBST.Detection: ECL Basic Kit.Exposure time: 30s.
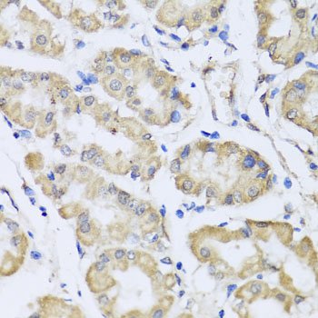
Immunohistochemistry of paraffin-embedded human stomach using RCN2 antibody at dilution of 1:100 (40x lens).
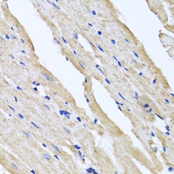
Immunohistochemistry of paraffin-embedded rat heart using RCN2 antibody at dilution of 1:100 (40x lens).
Immunohistochemistry of paraffin-embedded mouse heart using RCN2 antibody at dilution of 1:100 (40x lens).
Order Now
AVAILABLE SIZES
50ul
100ul
200ul
$
140.00
Add to Cart
ORDERING INFORMATION
International
TAICLONE BIOTECH CORP.
order@taiclone.com
+886-2-2735-9682
+886-2-2735-9807
Data sheet
Download PDF Datasheet
Technical Inquries
Submit Review
Submit Review
Please choose your application, enter the information requested below. * Marked fields are mandatory.
Full Name
Email
Contact Number
Application
Please Select..
Western blot (WB)
Immunohistochemistry (IHC)
Immunofluorescence (IF)
Immunocytochemistry (ICC)
Immunoprecipitation (IP)
Co-Immunoprecipitation (CoIP)
Chromatin Immunoprecipitation (ChIP)
RNA Binding Protein Immunoprecipitation (RIP)
Sample
Loading Amount
Loading Type
UG
CELLS
Treatment
Temperature
Exposure
Observe Band
Fixative
Select One
Acetone
Formaldehyde
Methanol
Paraformaldehyde
Other
Antigen Retrieval
Select One
Heat mediated
Enzymatic
Other
None
Positive Control
Negative Control
Dilution *
1:
Incubation Time *
Select Image *
Choose a file...
Rating *
Remarks *
Submit Review
Product Description
The protein encoded by this gene is a calcium-binding protein located in the lumen of the ER. The protein contains six conserved regions with similarity to a high affinity Ca(+2)-binding motif, the EF-hand. This gene maps to the same region as type 4 Bardet-Biedl syndrome, suggesting a possible causative role for this gene in the disorder. Alternatively spliced transcript variants encoding different isoforms have been found for this gene.
Information
Application
WB, IHC
Research Area
Cardiovascular, Calcium pathway,
Species Reactivity
Human, Mouse, Rat
Host Species
Rabbit
Isotype
IgG
Specifications
Form
Liquid
Storage Buffer
Buffer: PBS with 0.02% sodium azide, 50% glycerol, pH7.3.
Recommended Dilution
WB 1:500 - 1:2000
IHC 1:50 - 1:200
Misc Information
Storage Instruction
Store at -20℃. Avoid freeze / thaw cycles.
Alternative Names
E6BP;ERC-55;ERC55;TCBP49
SwissProt
Q14257
Gene ID
5955
(human);
Calculated Molecular Weight
36kDa/39kDa
Purification
Affinity purification
Cellular Location
Endoplasmic reticulum lumen,
related data
Get valuable resources and offers directly to your email.
REGISTER NOW