Products
PRIMARY ANTIBODY
SECONDARY ANTIBODY
PROTEIN & PEPTIDES
BIOCHEMICALS
ASSAY & ELISA KITS
LOADING CONTROL
OTHER REAGENTS
SERUMS
CELL LINE
Contact Us
About Us
Login
Register
|
Forgot Password
Sign In
Forgot your Password?
If you've forgotten your password, enter your e-mail address below and we'll send you instructions on how to securely change your password.
Back
Continue
0
Shopping Cart
Products
Contact Us
About Us
Shopping Cart
Loading....
Login Account
Sign In
Register
Register
|
Forgot Password
Sign In
Forgot your Password?
If you've forgotten your password, enter your e-mail address below and we'll send you instructions on how to securely change your password.
Back
Continue
0
Shopping Cart
Home
Primary Antibody
Anti FoxD3 antibody
tcsa8079
Anti FoxD3 antibody
Western Blot (WB) analysis using FoxD3 Monoclonal Antibody against NTERA-2 (1), HUVE-12 (2), HEK293 (3), HeLa (4), Jurkat (5), K562 (6), Raw 264.7 (7), NIH/3T3 (8), and COS7 (9) cell lysate.
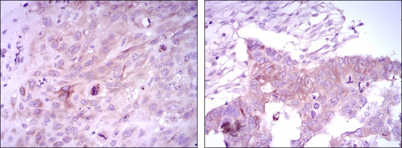
Immunohistochemistry (IHC) analysis of paraffin-embedded Lung Cancer Tissues (left) and ovarian cancer tissues (right) with DAB staining using FoxD3 Monoclonal Antibody.
Order Now
AVAILABLE SIZES
100µl
$
0.00
Add to Cart
ORDERING INFORMATION
International
TAICLONE BIOTECH CORP.
order@taiclone.com
+886-2-2735-9682
+886-2-2735-9807
Data sheet
Download PDF Datasheet
Technical Inquries
Submit Review
Submit Review
Please choose your application, enter the information requested below. * Marked fields are mandatory.
Full Name
Email
Contact Number
Application
Please Select..
Western blot (WB)
Immunohistochemistry (IHC)
Immunofluorescence (IF)
Immunocytochemistry (ICC)
Immunoprecipitation (IP)
Co-Immunoprecipitation (CoIP)
Chromatin Immunoprecipitation (ChIP)
RNA Binding Protein Immunoprecipitation (RIP)
Sample
Loading Amount
Loading Type
UG
CELLS
Treatment
Temperature
Exposure
Observe Band
Fixative
Select One
Acetone
Formaldehyde
Methanol
Paraformaldehyde
Other
Antigen Retrieval
Select One
Heat mediated
Enzymatic
Other
None
Positive Control
Negative Control
Dilution *
1:
Incubation Time *
Select Image *
Choose a file...
Rating *
Remarks *
Submit Review
Product Description
Mouse monoclonal to FoxD3.
Information
Application
WB, IHC-p, ELISA
Species Reactivity
Human, Mouse, Monkey
Host Species
Mouse
Immunogen / Amino acids
Purified recombinant fragment of human FoxD3 expressed in E. Coli.
Conjugation
Unconjugated
Clonality
Monoclonal
Clones
5G9
Isotype
IgG1
Specifications
Form
Liquid
Storage Buffer
Ascitic fluid containing 0.03% sodium azide.
Recommended Dilution
WB 1:500-1:2000IHC 1:200-1:1000ELISA 1:10000
Misc Information
Storage Instruction
Store at -20°C, and avoid repeat freeze-thaw cycles.
Alternative Names
FOXD3 antibodyHFH2 antibodyForkhead box protein D3 antibodyHNF3/FH transcription factor genesis antibody
SwissProt
Q9UJU5_HUMAN
related data
Get valuable resources and offers directly to your email.
REGISTER NOW