Products
PRIMARY ANTIBODY
SECONDARY ANTIBODY
PROTEIN & PEPTIDES
BIOCHEMICALS
ASSAY & ELISA KITS
LOADING CONTROL
OTHER REAGENTS
SERUMS
CELL LINE
Contact Us
About Us
Login
Register
|
Forgot Password
Sign In
Forgot your Password?
If you've forgotten your password, enter your e-mail address below and we'll send you instructions on how to securely change your password.
Back
Continue
0
Shopping Cart
Products
Contact Us
About Us
Shopping Cart
Loading....
Login Account
Sign In
Register
Register
|
Forgot Password
Sign In
Forgot your Password?
If you've forgotten your password, enter your e-mail address below and we'll send you instructions on how to securely change your password.
Back
Continue
0
Shopping Cart
Home
Primary Antibody
Anti NFκB p65 antibody
tcsa4472
Anti NFκB p65 antibody
Western Blot (WB) analysis of specific cells using NFkappaB-p65 Polyclonal Antibody.
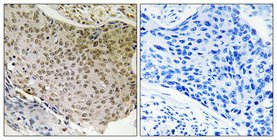
Immunohistochemical analysis of paraffin-embedded Human lung cancer. Antibody was diluted at 1:100(4°,overnight). High-pressure and temperature Tris-EDTA,pH8.0 was used for anbitody retrieval. Negetive contrl (right) obtaned from antibody was pre-absorbed by immunogen peptide.
Order Now
AVAILABLE SIZES
100µl
200µl
$
0.00
Add to Cart
ORDERING INFORMATION
International
TAICLONE BIOTECH CORP.
order@taiclone.com
+886-2-2735-9682
+886-2-2735-9807
Data sheet
Download PDF Datasheet
Technical Inquries
Submit Review
Submit Review
Please choose your application, enter the information requested below. * Marked fields are mandatory.
Full Name
Email
Contact Number
Application
Please Select..
Western blot (WB)
Immunohistochemistry (IHC)
Immunofluorescence (IF)
Immunocytochemistry (ICC)
Immunoprecipitation (IP)
Co-Immunoprecipitation (CoIP)
Chromatin Immunoprecipitation (ChIP)
RNA Binding Protein Immunoprecipitation (RIP)
Sample
Loading Amount
Loading Type
UG
CELLS
Treatment
Temperature
Exposure
Observe Band
Fixative
Select One
Acetone
Formaldehyde
Methanol
Paraformaldehyde
Other
Antigen Retrieval
Select One
Heat mediated
Enzymatic
Other
None
Positive Control
Negative Control
Dilution *
1:
Incubation Time *
Select Image *
Choose a file...
Rating *
Remarks *
Submit Review
Product Description
Rabbit polyclonal to NFκB-p65.
Information
Application
WB, IHC-p, IF, ELISA
Species Reactivity
Human, Mouse
Host Species
Rabbit
Immunogen / Amino acids
Synthesized peptide derived from human NFκB-p65 around the non-phosphorylation site of S311.
Conjugation
Unconjugated
Clonality
Polyclonal
Isotype
IgG
Specifications
Form
Liquid
Storage Buffer
Liquid in PBS containing 50% glycerol, 0.5% BSA and 0.02% sodium azide.
Concentration
1 mg/ml
Recommended Dilution
WB 1:500-1:2000IHC 1:100-1:300IF 1:200-1:1000ELISA 1:20000
Misc Information
Storage Instruction
Store at -20°C, and avoid repeat freeze-thaw cycles.
Alternative Names
RELA antibodyNFKB3 antibodyTranscription factor p65 antibodyNuclear factor NF-kappa-B p65 subunit antibodyNuclear factor of kappa light polypeptide gene enhancer in B-cells 3 antibody
SwissProt
Q04206_HUMAN
related data
Get valuable resources and offers directly to your email.
REGISTER NOW