Products
PRIMARY ANTIBODY
SECONDARY ANTIBODY
PROTEIN & PEPTIDES
BIOCHEMICALS
ASSAY & ELISA KITS
LOADING CONTROL
OTHER REAGENTS
SERUMS
CELL LINE
Contact Us
About Us
Login
Register
|
Forgot Password
Sign In
Forgot your Password?
If you've forgotten your password, enter your e-mail address below and we'll send you instructions on how to securely change your password.
Back
Continue
0
Shopping Cart
Products
Contact Us
About Us
Shopping Cart
Loading....
Login Account
Sign In
Register
Register
|
Forgot Password
Sign In
Forgot your Password?
If you've forgotten your password, enter your e-mail address below and we'll send you instructions on how to securely change your password.
Back
Continue
0
Shopping Cart
Home
Primary Antibody
PMS2 Polyclonal Antibody
tcea2660
PMS2 Polyclonal Antibody
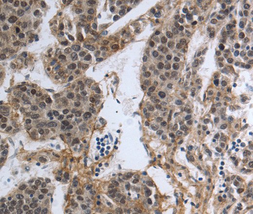
Immunohistochemistry of paraffin-embedded Human lung cancer tissue using PMS2 Polyclonal Antibody at dilution 1:30
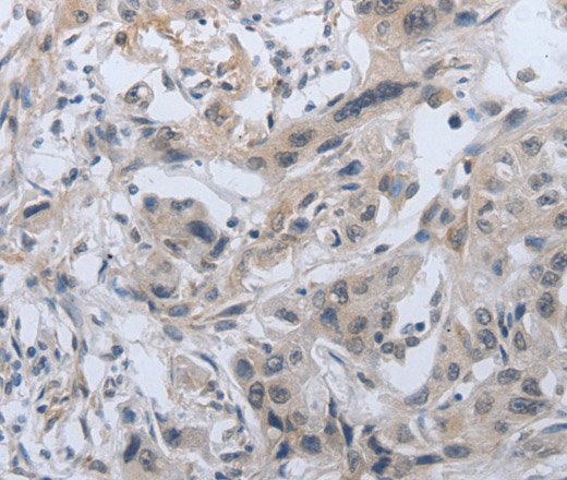
Immunohistochemistry of paraffin-embedded Human liver cancer tissue using PMS2 Polyclonal Antibody at dilution 1:30
Order Now
AVAILABLE SIZES
20ul
60ul
120ul
200ul
$
69.00
Add to Cart
ORDERING INFORMATION
International
TAICLONE BIOTECH CORP.
order@taiclone.com
+886-2-2735-9682
+886-2-2735-9807
Data sheet
Download PDF Datasheet
Technical Inquries
Submit Review
Submit Review
Please choose your application, enter the information requested below. * Marked fields are mandatory.
Full Name
Email
Contact Number
Application
Please Select..
Western blot (WB)
Immunohistochemistry (IHC)
Immunofluorescence (IF)
Immunocytochemistry (ICC)
Immunoprecipitation (IP)
Co-Immunoprecipitation (CoIP)
Chromatin Immunoprecipitation (ChIP)
RNA Binding Protein Immunoprecipitation (RIP)
Sample
Loading Amount
Loading Type
UG
CELLS
Treatment
Temperature
Exposure
Observe Band
Fixative
Select One
Acetone
Formaldehyde
Methanol
Paraformaldehyde
Other
Antigen Retrieval
Select One
Heat mediated
Enzymatic
Other
None
Positive Control
Negative Control
Dilution *
1:
Incubation Time *
Select Image *
Choose a file...
Rating *
Remarks *
Submit Review
Product Description
No product descriptions available. Please refer to the product information & specifications for details.
Information
Application
ELISA, IHC
Research Area
Cancer, Epigenetics and Nuclear Signaling
Species Reactivity
Human
Host Species
Rabbit
Immunogen / Amino acids
Synthetic peptide of human PMS2
Clonality
Polyclone
Isotype
IgG
Specifications
Form
Liquid
Storage Buffer
PBS with 0.05% sodium azide, 50% glycerol, pH7.3
Concentration
0.3mg/ml
Recommended Dilution
IHC(1:25-1:100)
Misc Information
Alternative Names
PMSL2, HNPCC4, PMS2CL
SwissProt
P54278
related data
Get valuable resources and offers directly to your email.
REGISTER NOW