
Product Description
This gene encodes a member of the pyruvate dehydrogenase kinase family. The encoded protein phosphorylates pyruvate dehydrogenase, down-regulating the activity of the mitochondrial pyruvate dehydrogenase complex. Overexpression of this gene may play a role in both cancer and diabetes. Alternatively spliced transcript variants encoding multiple isoforms have been observed for this gene.

Information
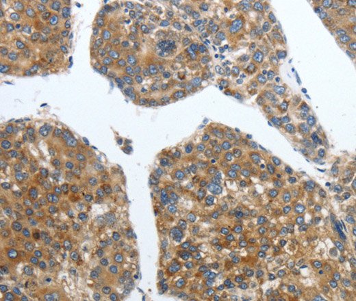
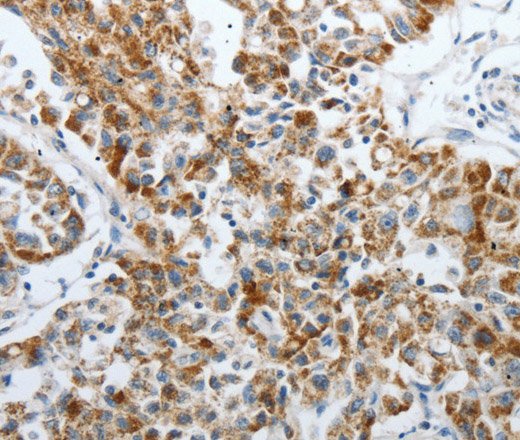
ApplicationELISA, WB, IHC
Research AreaCancer, Metabolism, Signal transduction
Species ReactivityHuman, Mouse, Rat
Host SpeciesRabbit
Immunogen / Amino acidsSynthetic peptide of human PDK2
ClonalityPolyclone
IsotypeIgG
TissueExpressed in many tissues, with the highest level in heart and skeletal muscle, intermediate levels in brain, kidney, pancreas and liver, and low levels in placenta and lung.

Specifications
FormLiquid
Storage BufferPBS with 0.05% sodium azide, 50% glycerol, pH7.3
Concentration0.5mg/ml
Recommended DilutionWB(1:200-1:1000) IHC(1:50-1:200)

Misc Information
Alternative Names[Pyruvate dehydrogenase [lipoamide]] kinase isozyme 2, mitochondrial, PDHK2, PDK2, PDK2, Pyruvate dehydrogenase kinase isoform 2, Pyruvate dehydrogenase kinase, isozyme 2, Pyruvate dehydrogenase lipoamide kinase isozyme 2, mitochondrial
Predicted Molecular Weight46 KDa