
Product Description
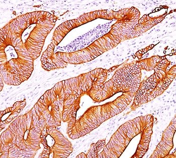
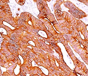
Twenty human keratins are resolved with two-dimensional gel electrophoresis into acidic (pI <5.7) and basic (pI >6.0) subfamilies. This pan keratin antibody cocktail recognizes acidic (Type I or LMW) and basic (Type II or HMW) cytokeratins, which include CK1, CK3-6, CK8, CK10, CK14-16, and CK19. Many studies have shown the usefulness of keratin markers in cancer research and tumor diagnosis. The AE1 + AE3 antibody cocktail is a broad spectrum pan cytokeratin antibody cocktail which differentiates epithelial tumors from non-epithelial tumors e.g. squamous vs. adenocarcinoma of the lung, liver carcinoma, breast cancer, and esophageal cancer. It has been used to characterize the source of various neoplasms and to study the distribution of keratin containing cells in epithelia during normal development and during the development of epithelial neoplasms. It stains cytokeratin present in normal and abnormal human tissues and has shown high sensitivity in the recognition of epithelial cells and carcinomas.

Information
ApplicationWB, FACS, IHC-P, IF
Species ReactivityHuman, Monkey, Cow, Dog, Rabbit, Mouse, Rat, Chicken. Other species not known.
Host SpeciesMouse
Immunogen / Amino acidsHuman epidermal keratin was used as the immunogen for this pan Cytokeratin antibody.
ConjugationUnconjugated
ClonalityMonoclonal
ClonesAE1 + AE3
IsotypeMouse IgG1 (AE-1 + AE-3)

Specifications
FormLiquid
Storage Buffer1 mg/ml in 1X PBS; BSA free, sodium azide free
Concentration1 mg/ml
Recommended DilutionFACS: 0.5-1ug/10e6 cells
IF: 1-2ug/ml
WB: 0.5-1ug/ml
for 2 hours at RT
IHC (FFPE): 0.5-1ug/ml for 30 min at RT (1)
Prediluted format : incubate for 30 min at RT (2)The concentration stated for each application is a general starting point. Variations in protocols
secondaries and substrates may require the pan Cytokeratin antibody AE1 + AE3 to be titered up or down for optimal performance.1. Staining of formalin-fixed tissues requires boiling tissue sections in 10mM citrate buffer
pH 6.0
for 10-20 min followed by cooling at RT for 20 minutes.
2. The prediluted format is supplied in a dropper bottle and is optimized for use in IHC. After epitope retrieval step (if required)
drip mAb solution onto the tissue section and incubate at RT for 30 min.

Misc Information
Storage InstructionStore the pan Cytokeratin antibody at 2-8oC (with azide) or aliquot and store at -20oC or colder (without azide).
ReferencesProtein G affinity chromatography