
Product Description
The protein encoded by this gene is a transmembrane glycoprotein that is a member of the protein kinase superfamily. This protein is a receptor for members of the epidermal growth factor family. EGFR is a cell surface protein that binds to epidermal growth factor. Binding of the protein to a ligand induces receptor dimerization and tyrosine autophosphorylation and leads to cell proliferation. Mutations in this gene are associated with lung cancer.

Information
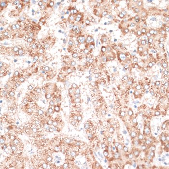
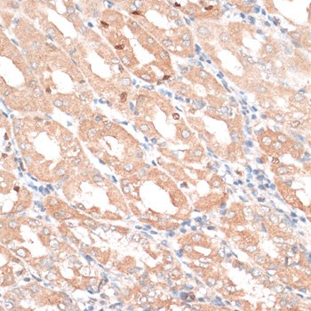
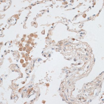
ApplicationWB, IHC
Research AreaCancer, Tumor biomarkers,
Species ReactivityHuman, Mouse, Rat
Host SpeciesRabbit
IsotypeIgG

Specifications
FormLiquid
Storage BufferBuffer: PBS with 0.02% sodium azide, 50% glycerol, pH7.3.
Recommended DilutionWB 1:500 - 1:1000
IHC 1:50 - 1:100

Misc Information
Storage InstructionStore at -20℃. Avoid freeze / thaw cycles.
Alternative NamesERBB;ERBB1;HER1;mENA;NISBD2;PIG61
Calculated Molecular Weight44kDa/69kDa/77kDa/134kDa
PurificationAffinity purification
Cellular LocationCell membrane,Endoplasmic reticulum membrane,Endosome,Endosome membrane,Golgi apparatus membrane,Nucleus membrane,Nucleus,Secreted,Single-pass type I membrane protein,