
Product Description
The translation initiation factor EIF2 catalyzes the first regulated step of protein synthesis initiation, promoting the binding of the initiator tRNA to 40S ribosomal subunits. Binding occurs as a ternary complex of methionyl-tRNA, EIF2, and GTP. EIF2 is composed of 3 nonidentical subunits, the 36-kD EIF2-alpha subunit (EIF2S1), the 38-kD EIF2-beta subunit (EIF2S2; MIM 603908), and the 52-kD EIF2-gamma subunit (EIF2S3; MIM 300161). The rate of formation of the ternary complex is modulated by the phosphorylation state of EIF2-alpha (Ernst et al., 1987 [PubMed 2948954]).[supplied by OMIM, Feb 2010]

Information
Research AreaRNA Binding Protein(RBP),
Species ReactivityHuman, Mouse, Rat
Host SpeciesRabbit
Immunogen / Amino acidsRecombinant fusion protein containing a sequence corresponding to amino acids 1-260 of human eIF2α (NP_004085.1).
IsotypeIgG

Specifications
FormLiquid
Storage BufferBuffer: PBS with 0.02% sodium azide, 50% glycerol, pH7.3.
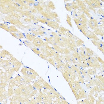
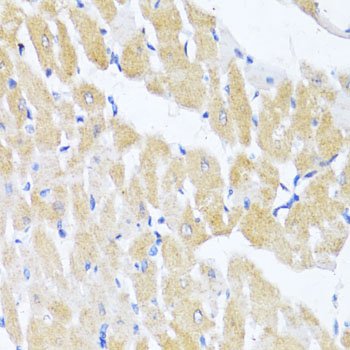
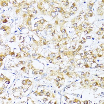
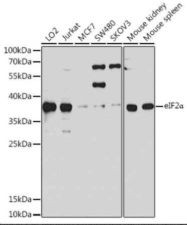
Tested ApplicationWB,IHC,IF
Recommended DilutionWB 1:500 - 1:1000
IHC 1:50 - 1:200
IF 1:50 - 1:200

Misc Information
Storage InstructionStore at -20℃. Avoid freeze / thaw cycles.
Alternative NamesEIF-2; EIF-2A; EIF-2alpha; EIF2; EIF2A; EIF2S1
Calculated Molecular Weight36kDa
Observed Molecular Weight36kDa
SequenceMPGLSCRFYQHKFPEVEDVVMVNVRSIAEMGAYVSLLEYNNIEGMILLSELSRRRIRSINKLIRIGRNECVVVIRVDKEKGYIDLSKRRVSPEEAIKCEDKFTKSKTVYSILRHVAEVLEYTKDEQLESLFQRTAWVFDDKYKRPGYGAYDAFKHAVSDPSILDSLDLNEDEREVLINNINRRLTPQAVKIRADIEVACYGYEGIDAVKEALRAGLNCSTENMPIKINLIAPPRYVMTTTTLERTEGLSVLSQAMAVIKE
PurificationAffinity purification
Positive ControlLO2, Jurkat, MCF7, SW480, SKOV3, Mouse kidney, Mouse spleen
Cellular LocationCytoplasmic granule,