Products
PRIMARY ANTIBODY
SECONDARY ANTIBODY
PROTEIN & PEPTIDES
BIOCHEMICALS
ASSAY & ELISA KITS
LOADING CONTROL
OTHER REAGENTS
SERUMS
CELL LINE
Contact Us
About Us
Login
Register
|
Forgot Password
Sign In
Forgot your Password?
If you've forgotten your password, enter your e-mail address below and we'll send you instructions on how to securely change your password.
Back
Continue
0
Shopping Cart
Products
Contact Us
About Us
Shopping Cart
Loading....
Login Account
Sign In
Register
Register
|
Forgot Password
Sign In
Forgot your Password?
If you've forgotten your password, enter your e-mail address below and we'll send you instructions on how to securely change your password.
Back
Continue
0
Shopping Cart
Home
Primary Antibody
SIRT1 Polyclonal Antibody
tcba159
SIRT1 Polyclonal Antibody
Western blot analysis of extracts of various cell lines, using SIRT1 antibody at 1:1000 dilution.Secondary antibody: HRP Goat Anti-Rabbit IgG (H+L) at 1:10000 dilution.Lysates/proteins: 25ug per lane.Blocking buffer: 3% nonfat dry milk in TBST.Detection: ECL Basic Kit.Exposure time: 120s.
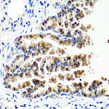
Immunohistochemistry of paraffin-embedded human stomach using SIRT1 antibody at dilution of 1:100 (40x lens).
Immunohistochemistry of paraffin-embedded mouse lung using SIRT1 antibody at dilution of 1:100 (40x lens).
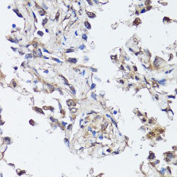
Immunohistochemistry of paraffin-embedded human lung cancer using SIRT1 antibody at dilution of 1:100 (40x lens).
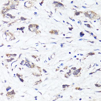
Immunohistochemistry of paraffin-embedded human gastric cancer using SIRT1 antibody at dilution of 1:100 (40x lens).
Order Now
AVAILABLE SIZES
50ul
100ul
200ul
$
140.00
Add to Cart
ORDERING INFORMATION
International
TAICLONE BIOTECH CORP.
order@taiclone.com
+886-2-2735-9682
+886-2-2735-9807
Data sheet
Download PDF Datasheet
Technical Inquries
Submit Review
Submit Review
Please choose your application, enter the information requested below. * Marked fields are mandatory.
Full Name
Email
Contact Number
Application
Please Select..
Western blot (WB)
Immunohistochemistry (IHC)
Immunofluorescence (IF)
Immunocytochemistry (ICC)
Immunoprecipitation (IP)
Co-Immunoprecipitation (CoIP)
Chromatin Immunoprecipitation (ChIP)
RNA Binding Protein Immunoprecipitation (RIP)
Sample
Loading Amount
Loading Type
UG
CELLS
Treatment
Temperature
Exposure
Observe Band
Fixative
Select One
Acetone
Formaldehyde
Methanol
Paraformaldehyde
Other
Antigen Retrieval
Select One
Heat mediated
Enzymatic
Other
None
Positive Control
Negative Control
Dilution *
1:
Incubation Time *
Select Image *
Choose a file...
Rating *
Remarks *
Submit Review
Product Description
This gene encodes a member of the sirtuin family of proteins, homologs to the yeast Sir2 protein. Members of the sirtuin family are characterized by a sirtuin core domain and grouped into four classes. The functions of human sirtuins have not yet been determined; however, yeast sirtuin proteins are known to regulate epigenetic gene silencing and suppress recombination of rDNA. Studies suggest that the human sirtuins may function as intracellular regulatory proteins with mono-ADP-ribosyltransferase activity. The protein encoded by this gene is included in class I of the sirtuin family. Alternative splicing results in multiple transcript variants.
Information
Application
WB, IHC
Research Area
Cancer, Apoptosis, Epigenetics,
Species Reactivity
Human, Mouse, Rat
Host Species
Rabbit
Isotype
IgG
Specifications
Form
Liquid
Storage Buffer
Buffer: PBS with 0.02% sodium azide, 50% glycerol, pH7.3.
Recommended Dilution
WB 1:500 - 1:2000
IHC 1:50 - 1:200
Misc Information
Storage Instruction
Store at -20℃. Avoid freeze / thaw cycles.
SwissProt
Q96EB6
Gene ID
23411
(human);
Calculated Molecular Weight
61kDa/81kDa
Purification
Affinity purification
Cellular Location
Cytoplasm,Mitochondrion,Nucleus,Nucleus,PML body,
related data
Get valuable resources and offers directly to your email.
REGISTER NOW