
Product Description
No product descriptions available. Please refer to the product information & specifications for details.

Information
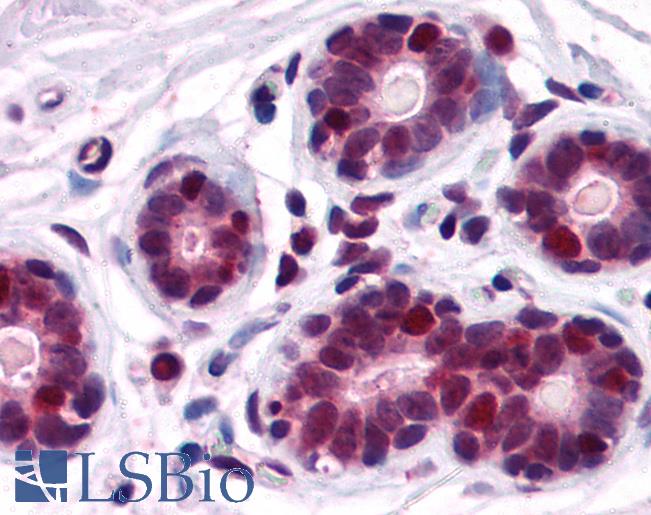
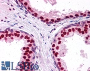
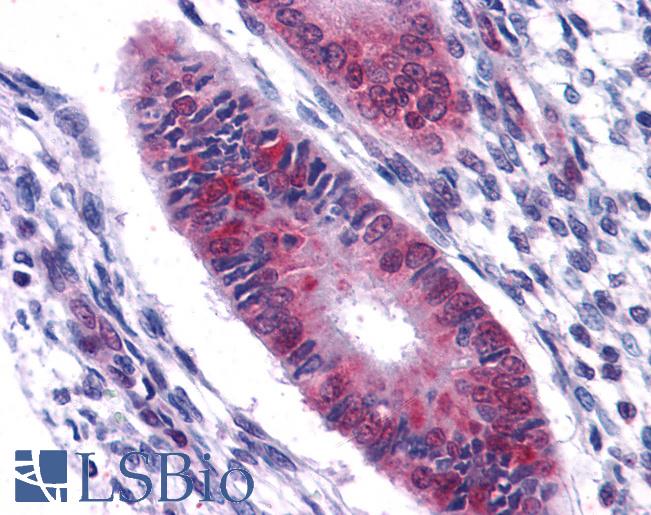
ApplicationPep-ELISA, WB
Research AreaDEAD
RNA helicase
Species ReactivityHuman, Mouse, Rat, Dog
Host SpeciesGoat
Immunogen / Amino acidsC-PMIGYPMPTGYSQ
ConjugationUnconjugated

Specifications
FormLiquid
Storage BufferTris saline, 0.02% sodium azide, pH7.3 with 0.5% bovine serum albumin
Concentration0.5 mg/ml in 200 µl
Recommended DilutionWestern Blot: Approx 70kDa band observed in nuclear lysates of cell lines NIH3T3
A431
HeLa and Jurkat (calculated MW of 69.1kDa according to NP_004387.1). Recommended concentration: 0.3-1µg/ml. Primary incubation was 1 hour.
Peptide ELISA: antibody detection limit dilution 1:8000.

Misc Information
Storage InstructionAliquot store at -20C. Avoid freeze / thaw cycles.
Alternative NamesDDX5; P68; HLR1; G17P1; HUMP68; DEAD/H (Asp-Glu-Ala-Asp/His) box polypeptide 5 (RNA helicase, 68kDa); RNA-dependent ATPase; DEAD/H box-5 (RNA helicase, 68kD); DEAD/H (Asp-Glu-Ala-Asp/His) box polypeptide 5 (RNA helicase, 68kD); DEAD (Asp-Glu-Ala-Asp) box polypeptide 5; DKFZp434E109; DKFZp686J01190; ATP-dependent RNA helicase DDX5; DEAD box-5
Reference Sequence No.NP_004387.1
Calculated Molecular Weight69.1
PurificationPurified from goat serum by ammonium sulphate precipitation followed by antigen affinity chromatography using the immunizing peptide
Positive Controltcva06310p