tcua3044 Polyclonal Antibody to Methyl CpG Binding Protein 2 (MECP2)

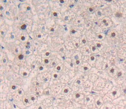
Figure. Western Blot; Sample: Recombinant protein.)Used in DAB staining on fromalin fixed paraffin- embedded liver tissue)
Order Now

AVAILABLE SIZES

$140.00 ORDERING INFORMATION International
TAICLONE BIOTECH CORP.
order@taiclone.com
+886-2-2735-9682
+886-2-2735-9807

Data sheet

Download PDF Datasheet

Technical Inquries

Submit Review

Product Description

No product descriptions available. Please refer to the product information & specifications for details.

Information

ApplicationWB
IHC
ICC
IP.
Species ReactivityHomo sapiens (Human)
Host SpeciesRabbit
ConjugationUnconjugated
ClonalityPolyclonal

Specifications

FormLiquid
Storage BufferPBS, pH7.4, containing 0.02% NaN3, 50% glycerol.
Recommended Dilution
Western blotting: 0.2-2µg/mL
1:250-2500

Immunohistochemistry: 5-20µg/mL
1:25-100

Immunocytochemistry: 5-20µg/mL
1:25-100

Optimal working dil

Misc Information

Alternative NamesRTS; AUTSX3; MRX16; MRX79; PPMX; RTT; Rett Syndrome; Mental Retardation, X-linked 16
Get valuable resources and offers directly to your email.