Products
PRIMARY ANTIBODY
SECONDARY ANTIBODY
PROTEIN & PEPTIDES
BIOCHEMICALS
ASSAY & ELISA KITS
LOADING CONTROL
OTHER REAGENTS
SERUMS
CELL LINE
Contact Us
About Us
Login
Register
|
Forgot Password
Sign In
Forgot your Password?
If you've forgotten your password, enter your e-mail address below and we'll send you instructions on how to securely change your password.
Back
Continue
0
Shopping Cart
Products
Contact Us
About Us
Shopping Cart
Loading....
Login Account
Sign In
Register
Register
|
Forgot Password
Sign In
Forgot your Password?
If you've forgotten your password, enter your e-mail address below and we'll send you instructions on how to securely change your password.
Back
Continue
0
Shopping Cart
Home
Primary Antibody
Anti EIF3H Antibody
tcsa22986
Anti EIF3H Antibody
Western blot analysis of extracts of various cell lines, using EIF3H antibody at 1:1000 dilution. Secondary antibody: HRP Goat Anti-Rabbit IgG (H+L) at 1:10000 dilution. Lysates/proteins: 25ug per lane. Blocking buffer: 3% nonfat dry milk in TBST. Detection: ECL Basic Kit. Exposure time: 1s.
Immunohistochemistry of paraffin-embedded rat brain using EIF3H Antibody at dilution of 1:100 (40x lens).
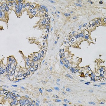
Immunohistochemistry of paraffin-embedded human prostate using EIF3H Antibody at dilution of 1:100 (40x lens).
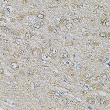
Immunohistochemistry of paraffin-embedded mouse brain using EIF3H Antibody at dilution of 1:100 (40x lens).
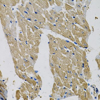
Immunohistochemistry of paraffin-embedded mouse heart using EIF3H Antibody at dilution of 1:100 (40x lens).
Immunoprecipitation analysis of 200ug extracts of Jurkat cells using 1ug EIF3H antibody. Western blot was performed from the immunoprecipitate using EIF3H antibody at a dilition of 1:1000.
Order Now
AVAILABLE SIZES
100µl
$
0.00
Add to Cart
ORDERING INFORMATION
International
TAICLONE BIOTECH CORP.
order@taiclone.com
+886-2-2735-9682
+886-2-2735-9807
Data sheet
Download PDF Datasheet
Technical Inquries
Submit Review
Submit Review
Please choose your application, enter the information requested below. * Marked fields are mandatory.
Full Name
Email
Contact Number
Application
Please Select..
Western blot (WB)
Immunohistochemistry (IHC)
Immunofluorescence (IF)
Immunocytochemistry (ICC)
Immunoprecipitation (IP)
Co-Immunoprecipitation (CoIP)
Chromatin Immunoprecipitation (ChIP)
RNA Binding Protein Immunoprecipitation (RIP)
Sample
Loading Amount
Loading Type
UG
CELLS
Treatment
Temperature
Exposure
Observe Band
Fixative
Select One
Acetone
Formaldehyde
Methanol
Paraformaldehyde
Other
Antigen Retrieval
Select One
Heat mediated
Enzymatic
Other
None
Positive Control
Negative Control
Dilution *
1:
Incubation Time *
Select Image *
Choose a file...
Rating *
Remarks *
Submit Review
Product Description
No product descriptions available. Please refer to the product information & specifications for details.
Information
Application
WB, IHC, IF, IP
Species Reactivity
Human, Mouse, Rat
Host Species
Rabbit
Immunogen / Amino acids
Recombinant protein of human EIF3H
Conjugation
Unconjugated
Clonality
Polyclonal
Isotype
IgG
Specifications
Form
Liquid
Storage Buffer
PBS with 0.02% sodium azide, 50% glycerol, pH7.3.
Recommended Dilution
WB 1:500 - 1:2000
IHC 1:50 - 1:200
IF 1:50 - 1:200
IP 1:50 - 1:200
Misc Information
Storage Instruction
Store at -20C. Avoid freeze / thaw cycles.
Alternative Names
EIF3H antibodyEukaryotic translation initiation factor 3 subunit H antibodyeIF3h antibodyEukaryotic translation initiation factor 3 subunit 3 antibodyeIF-3-gamma antibodyeIF3 p40 subunit antibodyEIF3H antibodyEIF3S3 anti
SwissProt
O15372
related data
Get valuable resources and offers directly to your email.
REGISTER NOW