Products
PRIMARY ANTIBODY
SECONDARY ANTIBODY
PROTEIN & PEPTIDES
BIOCHEMICALS
ASSAY & ELISA KITS
LOADING CONTROL
OTHER REAGENTS
SERUMS
CELL LINE
Contact Us
About Us
Login
Register
|
Forgot Password
Sign In
Forgot your Password?
If you've forgotten your password, enter your e-mail address below and we'll send you instructions on how to securely change your password.
Back
Continue
0
Shopping Cart
Products
Contact Us
About Us
Shopping Cart
Loading....
Login Account
Sign In
Register
Register
|
Forgot Password
Sign In
Forgot your Password?
If you've forgotten your password, enter your e-mail address below and we'll send you instructions on how to securely change your password.
Back
Continue
0
Shopping Cart
Home
Primary Antibody
Anti Phospho Bad S112 Antibody
tcsa15625
Anti Phospho Bad S112 Antibody
Western blot analysis of extracts from cos7 cells using Phospho-Bad-S112 antibody. Secondary antibody: HRP Goat Anti-Rabbit IgG (H+L) at 1:10000 dilution. Lysates/proteins: 25ug per lane. Blocking buffer: 3% BSA.
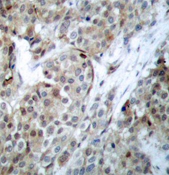
Immunohistochemistry of paraffin-embedded human breast carcinoma using Phospho-Bad-S112 antibody.
Order Now
AVAILABLE SIZES
100µl
$
0.00
Add to Cart
ORDERING INFORMATION
International
TAICLONE BIOTECH CORP.
order@taiclone.com
+886-2-2735-9682
+886-2-2735-9807
Data sheet
Download PDF Datasheet
Technical Inquries
Submit Review
Submit Review
Please choose your application, enter the information requested below. * Marked fields are mandatory.
Full Name
Email
Contact Number
Application
Please Select..
Western blot (WB)
Immunohistochemistry (IHC)
Immunofluorescence (IF)
Immunocytochemistry (ICC)
Immunoprecipitation (IP)
Co-Immunoprecipitation (CoIP)
Chromatin Immunoprecipitation (ChIP)
RNA Binding Protein Immunoprecipitation (RIP)
Sample
Loading Amount
Loading Type
UG
CELLS
Treatment
Temperature
Exposure
Observe Band
Fixative
Select One
Acetone
Formaldehyde
Methanol
Paraformaldehyde
Other
Antigen Retrieval
Select One
Heat mediated
Enzymatic
Other
None
Positive Control
Negative Control
Dilution *
1:
Incubation Time *
Select Image *
Choose a file...
Rating *
Remarks *
Submit Review
Product Description
The protein encoded by this gene is a member of the BCL-2 family. BCL-2 family members are known to be regulators of programmed cell death. This protein positively regulates cell apoptosis by forming heterodimers with BCL-xL and BCL-2, and reversing their death repressor activity. Proapoptotic activity of this protein is regulated through its phosphorylation. Protein kinases AKT and MAP kinase, as well as protein phosphatase calcineurin were found to be involved in the regulation of this protein. Alternative splicing of this gene results in two transcript variants which encode the same isoform.
Information
Application
WB, IHC
Species Reactivity
Human, Mouse, Rat, Monkey
Host Species
Rabbit
Immunogen / Amino acids
A phospho specific peptide corresponding to residues surrounding S112 of human Bad
Conjugation
Unconjugated
Clonality
Polyclonal
Isotype
IgG
Specifications
Form
Liquid
Storage Buffer
PBS with 0.02% sodium azide, 50% glycerol, pH7.3.
Recommended Dilution
WB 1:500 - 1:2000
IHC 1:50 - 1:100
Misc Information
Storage Instruction
Store at -20C. Avoid freeze / thaw cycles.
Alternative Names
BAD antibodyBcl2-associated agonist of cell death antibodyBAD antibodyBcl-2-binding component 6 antibodyBcl-2-like protein 8 antibodyBcl2-L-8 antibodyBcl-xL/Bcl-2-associated death promoter antibodyBcl2 antagonist of cell
SwissProt
Q92934
related data
Get valuable resources and offers directly to your email.
REGISTER NOW